Новости и сервисы Google: поиск, Android, YouTube и облачные технологии. Следите за обновлениями алгоритмов и новыми продуктами техногиганта.
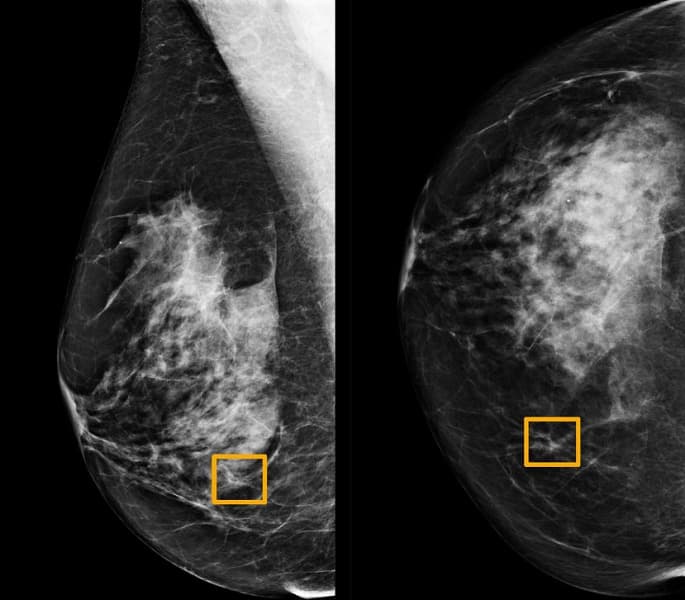
Искусственный интеллект Google выявляет рак груди точнее опытного врача
Исследование, опубликованное в журнале Nature, показало, что искусственный интеллект (ИИ) может повысить точность скрининга на рак молочной железы, которым, как утверждается, страдает каждая восьмая женщина в мире. Изучая маммограммы, система искусственного интеллекта Google показала себя не хуже, чем опытные врачи…
Читать дальше





